Oriani Cosmetic Dental
Oriani Cosmetic Dental
SCHEDULE
Leave a Google Review
Instagram
(202) 393-3209
Home
Meet Us
Our Team
Technology
Office Pictures
Services
View All
General Dentistry
Dental Cleanings & Exams
iTero Digital Wellness Scanning
Dental Implants
Cosmetic Dentistry
Porcelain Veneers
Invisalign® Clear Aligners
Composite Bonding & Fillings
Zoom! Teeth Whitening
Full Smile Makeovers
TMJ & Bruxism Treatment
Dental Crowns & Bridges
Smile Gallery
Testimonials
Patient Info
View Patient Info
Forms
Financial
FAQs
Pay Online
Contact
Oriani Cosmetic Dental
>
Smile Gallery
>
Case
Case
Return to Smile Gallery
Previous
Next
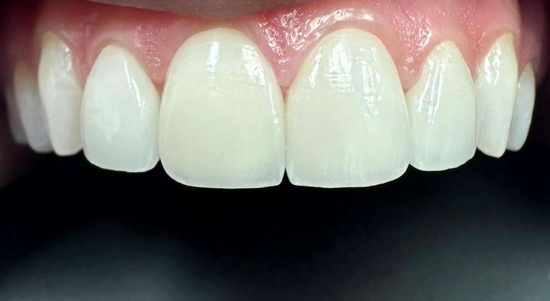
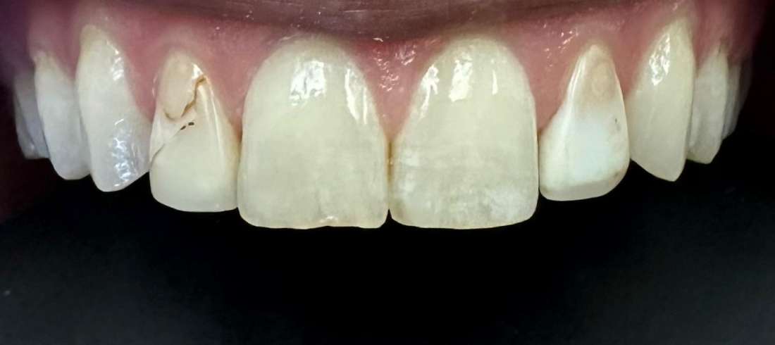
4 feldspathic porcelain veneers + zoom whitening
Related Services:
Porcelain Veneers
Zoom! Teeth Whitening
Drag the arrows back and forth to view complete Before and After views
Still need an appointment?
Contact Us
If you have difficulty using our website, please
email us
or call us at
(202) 393-3209
View the
ADA Accessibility Statement
Turn on ADA Views
OK!
×
×
Contact Us Today
Give Us A Call
Oriani Cosmetic Dental -
(202) 393-3209
Send Us an Email
SCHEDULE
Contact
Ready to Schedule an Appointment?
SCHEDULE
Have Questions? Contact Us:
Required Field
Your Name:
Phone:
Email:
Are you a new patient?:
Are you a?
New Patient
Current Patient
How would you like us to contact you?
Please choose
Email
Call
How did you hear about us?
Please choose
I'm an existing patient
Google/Bing
Mailer
Word of mouth
Social media
Other
Who Referred You?:
Appointment Preferences
Monday
Tuesday
Wednesday
Thursday
Your Message:
This site is protected by reCAPTCHA and the Google
Privacy Policy
and
Terms of Service
apply.
Sending...
×
This Patient's Experience
Loading Testimonial...
Loading Case...